mail magazine backnumber
メールマガジン バックナンバー
【3月4日 酸蝕歯(さんしょくし)の日】
こんにちは!
としな歯科医院キャストによるメルマガをお送りします☆

本日3月4日は、
語呂合わせで「酸蝕(さんしょく)歯の日」だそうです。
酸蝕歯...
ご存知ですか?
私はココ(歯医者)で勤めるまで、知りませんでした(´-`)
「酸蝕歯」とは
酸性の食べ物(柑橘類、酢、炭酸等)によって
歯の表面=エナメル質が溶けた歯のことです。
普段のお口の中の唾液(つば)は中性です。
(唾液の酸性度を示すpH値は7)
歯の表面をコーティングしている
エナメル質(カラダの中で最も硬い組織)は
pH値が5.5以下になると溶け出します。


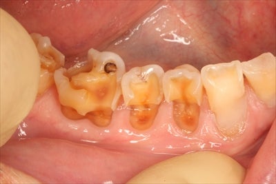
衝撃画像じゃないですか!?
ムシ歯ではないんですよ!!
ムシ歯ではないんですよ!!
ここで酸蝕歯のリスクがあるチェックです!!
①酢・炭酸飲料・スポーツドリンク・野菜ジュースをよく飲む
②柑橘類・梅干し・酢の物をよく摂る
③ワイン、ビール、チューハイなどお酒をほとんど毎日飲む
④ゲップなどで口の中に胃酸の逆流をよく起こす
⑤ブラッシング圧が強い
いかがでしたか?
ドキっしませんでした??
なんと!
近年、4人に1人が酸蝕歯になっているそうです。
予防としては、
酸性度の高い飲食物を控える
摂ってはダメ!
というわけではなさそうです。
摂っても、
お水でうがいしたり
歯磨きしたり
“酸”を洗い流してください(^^)
なお
食品ごとの主なpH値を示しますね。
2.3:白ワイン
2.6:赤ワイン
3.0:りんご、食酢
3.5:スポーツ飲料
4.0:果汁ジュース、ビール、、日本酒
5.0:炭酸水、コーヒー、焼酎、ウイスキー
↑エナメル質が溶ける
---pH値:5.5--------------------------------
↓エナメル質が溶けない
6.0:ミネラル水、煎茶、緑茶、ウーロン茶
牛乳や純水は中性の7.0で最も安心です。
いずれにしろ
歯科衛生士によるメインテナンスが
とっても大切です!(╹◡╹)!
当院では
歯科衛生士が歯みがきや食事の摂り方などのアドバイスと
プロならではケアを行っております☆
疑問や質問がございましたら、
遠慮なく当院スタッフまでご相談ください(^^)
担当は歯科助手・中野でした☆