2026.03.24
エコー(超音波)検査について
今年から当院ではエコーを使っての検査が可能になりました!
最近外傷の患者さんが増えており、とても活躍しております。
「エコーって病院でやるものじゃないの?」
「体に害はないの?」
そんな疑問を持つ方も多いと思いますので、分かりやすく説明していきます。
エコー検査ってなに?
エコー検査とは、超音波を使って体の中の状態をリアルタイムで見ることができる検査です。
レントゲンとは違い、
骨だけでなく筋肉・靭帯・腱・関節などの軟部組織も確認することができます。
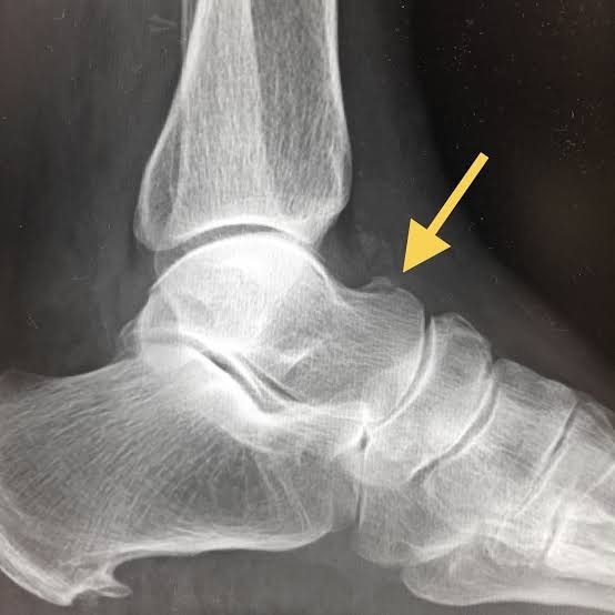
足首の靱帯の見え方を比較

足首のレントゲン画像

骨は綺麗に写っていますが、靱帯はほぼ見えません。
次に足首のエコー画像

このように写る範囲は広くありませんが、骨に限らず軟部組織も捉えられるのが特徴です。
・骨折
・捻挫
・肉離れ
・靭帯損傷
・腱の炎症
・関節内の腫れ
など、ケガの状態をより正確に確認することができます。
安全性は大丈夫?
エコー検査は超音波(音の振動)を使う検査なので、
• 放射線を使用しない
• 体への負担がほとんどない
• 妊婦さんにも使用されるほど安全
実際に産婦人科では赤ちゃんの状態を見るために使われている検査なので、
体に害がない安全な検査方法です。
エコーを使うメリット
エコーを使うことで、今まで以上にケガの状態を正確に把握することができます。
例えば…
「ただの捻挫だと思っていたら骨折していた」
「筋肉の一部が傷ついている」
など、痛みの原因を目で確認しながら治療することが可能になります。
また、患者さんにも画面を見てもらいながら説明できるので、
自分の体の状態を理解しやすいというメリットもあります。
こんな症状の方におすすめ
• 捻挫をした
• スポーツでケガをした
• なかなか痛みが引かない
• 骨折が心配
• 腱や靭帯の状態を知りたい
など、ケガの状態をしっかり確認したい方におすすめです。
最後に
当院ではエコー検査を取り入れることで、
ケガの状態をしっかり確認判断しながら、より適切な治療を行うことを大切にしています。
気になる症状がある方は、
お気軽にご相談ください。